极光影像 即刻呈现
P20 Elite
彩色多普勒超声诊断系统
彩色多普勒超声诊断系统
广告
“生育问题”即关系民族复兴,也关系亿万家庭的幸福。随着婚育年龄推迟、社会压力增加等因素,越来越多人群也面临着“生不出、生不好”的问题。辅助生殖作为治疗不孕不育最有效的方法之一,也逐渐成为育儿新希望。而超声检查能为生殖需求人群的初诊评估提供宝贵的信息。 P20 Elite是亚星官网匠心打造的一款生殖应用型彩超。她继承亚星官网高端极光平台,突破性地将多款新型芯片及硬件模块进行整合,均衡了高端系统性能与小巧灵动机身。P20 Elite卓越的图像质量搭载专科探头,旨在为您提供全面的辅助生殖解决方案。
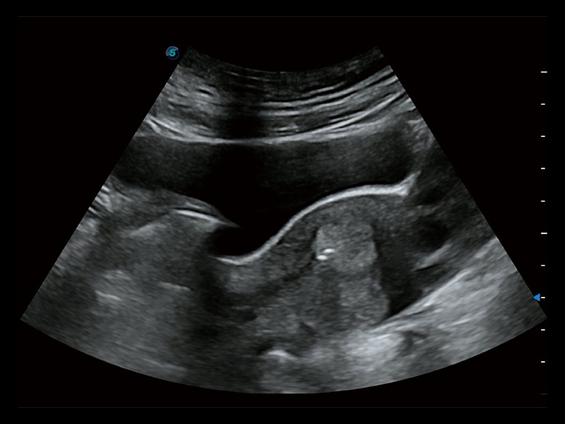
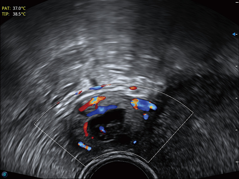
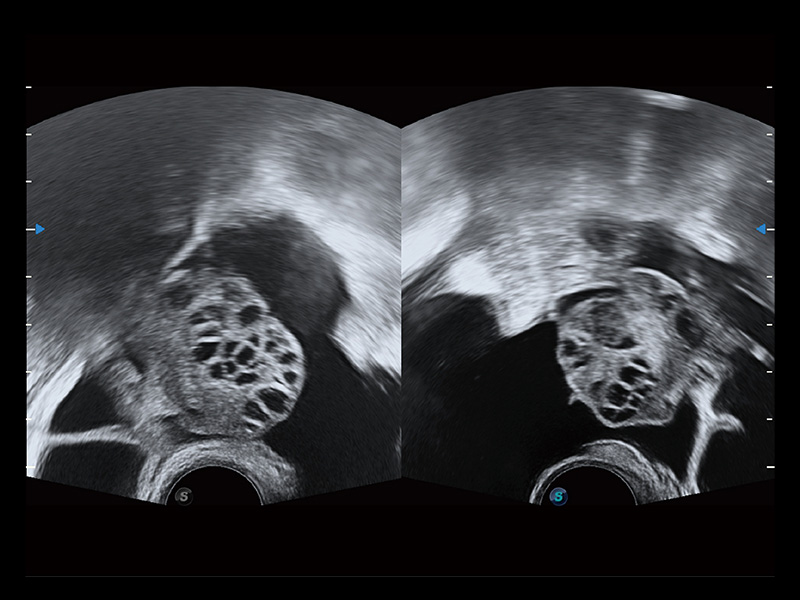
P20 Elite配备了丰富的生殖探头群和临床应用功能,在卵泡监测、穿刺取卵、胚胎移植、妊娠确认等领域,为生殖需求人群提供了新的临床机会,重新定义高端超声如何应用于生殖健康检查。
通过线上云会诊平台,实现县级医院与上级医院患者卵泡数据互联互通。避免重复性卵泡测量,提高诊断效率。
P20 Elite可选配23.8英寸高分辨率显示器,提供出色的对比分辨率,图像清晰更清晰,方便医生诊断观察。
高灵敏度触摸屏可进行角度调整,以适应用户在不同环境中的观看。
4个激活+1个挂口满足临床更广泛的应用需求。
可内置大容量锂电池,方便运输,满足更长时间扫描需求。
耦合剂加热器可将耦合剂维持在舒适的温度,体现患者关爱。
禁忌内容或者注意事项详见说明书

微信公众号
0188-22223333
400-800-8820
版权所有 @亚星官网 苏ICP备20008866
互联网电子信息服务资格证书[(苏)-非经营性-2002-0888